歯面修復

Tooth surface restoration

whi2_20201013224621236.jpg pmt_20200602185409600.jpg kire2_20231114214120837.png

アメニティプラス※保険外診療

歯を削るのではなく、歯の表面の傷を埋めてなめらかに。
治療を受けるほど、歯を健康で美しい状態にします。
 
歯と同じ成分を補給するトリートメントケアです。
削るのではなく、傷を埋めてなめらかにするので、歯に負担をかけず、痛みもありません。
 
受けていただくほど、歯の表面がツルツルになり、自然な白さが維持できます。

 
whi2_20201013224621236.jpg pmt_20200602185409600.jpg kire2_20231114214120837.png

アメニティプラス※保険外診療

歯を削るのではなく、歯の表面の傷を埋めてなめらかに。
治療を受けるほど、歯を健康で美しい状態にします。
 
歯と同じ成分を補給するトリートメントケアです。
削るのではなく、傷を埋めてなめらかにするので、歯に負担をかけず、痛みもありません。
 
受けていただくほど、歯の表面がツルツルになり、自然な白さが維持できます。

 

ホワイトニング

Whitening

whit.jpg whi.jpg op.jpg tio10.jpg

ホームホワイトニング※保険外診療

マウスピースを使い、歯を薬品で浸して美白くするのがホワイトニングです。
美白剤の主成分は過酸化水素で、消毒薬のオキシドールとして知られています。
 
欧米では、すでに100万人以上の方がこの技術で歯を美白しています。
喫煙やコーヒー等の飲用による変色、老化、遺伝による黄ばみにも優れた効果があります。
ご自宅にて、お好きな時間に行っていただくことができます。

 
whit.jpg whi.jpg op.jpg tio10.jpg

ホームホワイトニング※保険外診療

マウスピースを使い、歯を薬品で浸して美白くするのがホワイトニングです。
美白剤の主成分は過酸化水素で、消毒薬のオキシドールとして知られています。
 
欧米では、すでに100万人以上の方がこの技術で歯を美白しています。
喫煙やコーヒー等の飲用による変色、老化、遺伝による黄ばみにも優れた効果があります。
ご自宅にて、お好きな時間に行っていただくことができます。

 

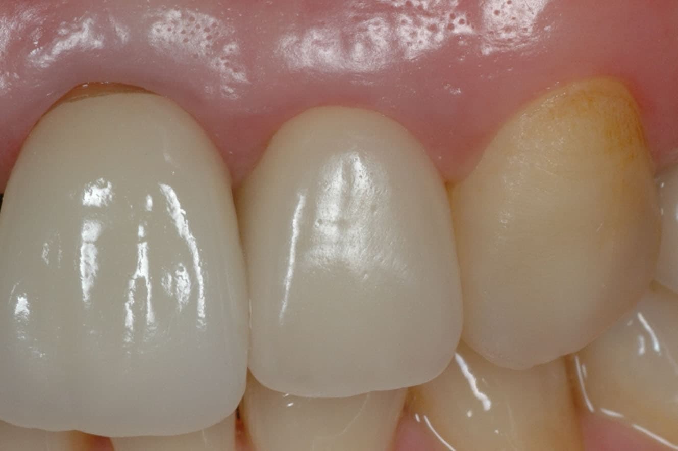
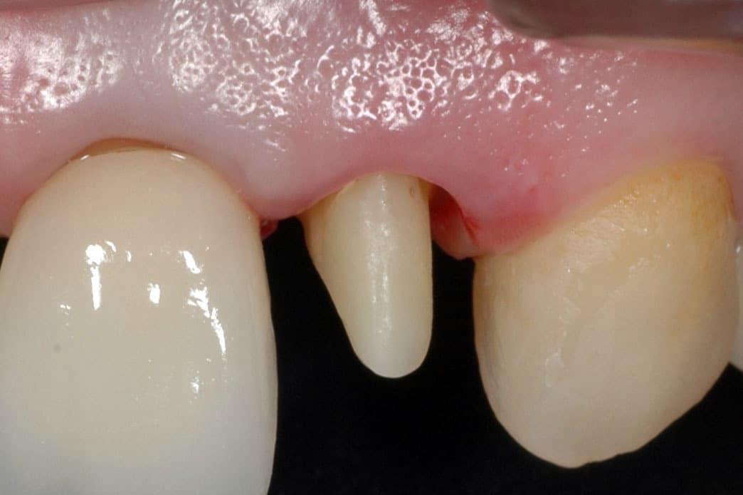
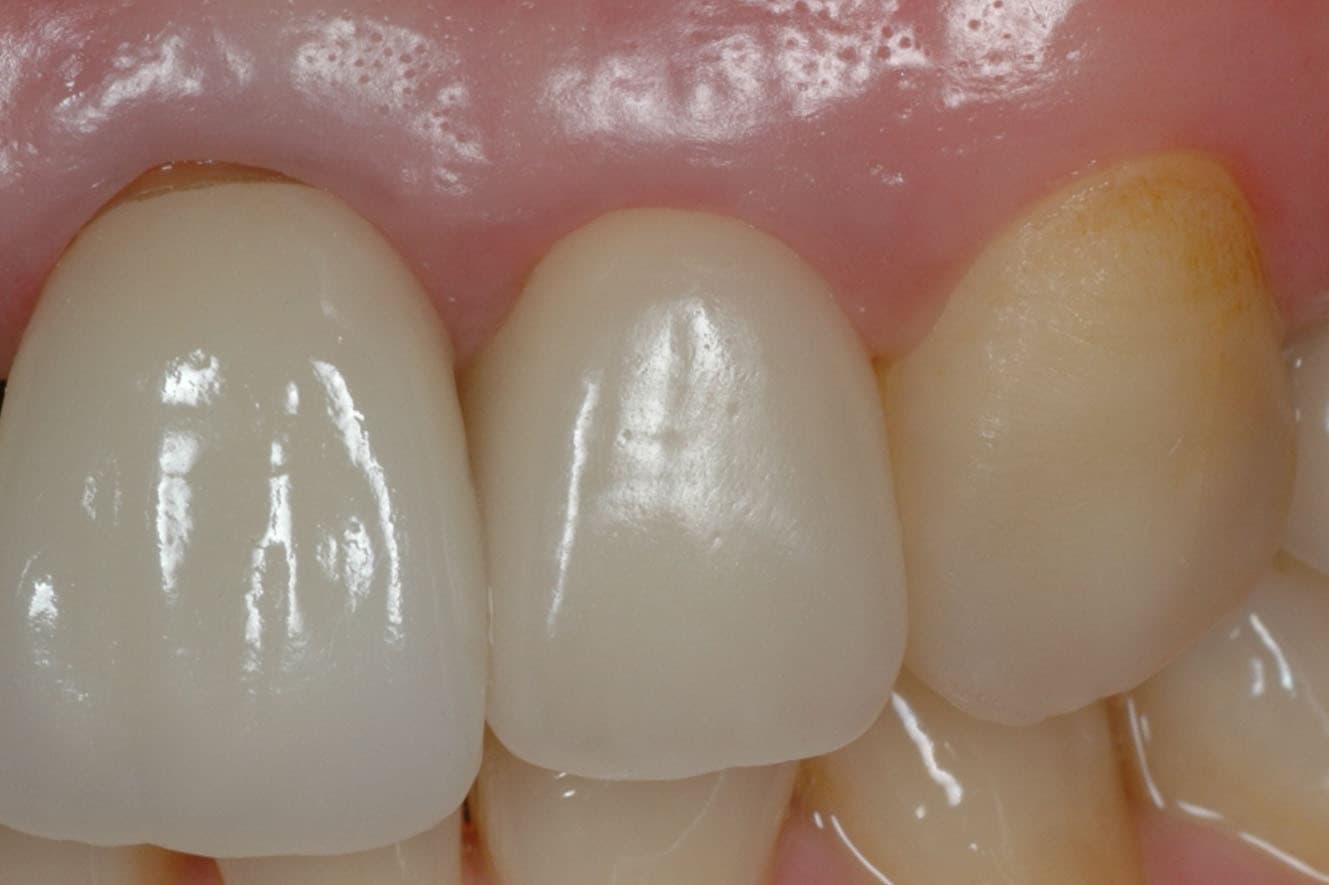
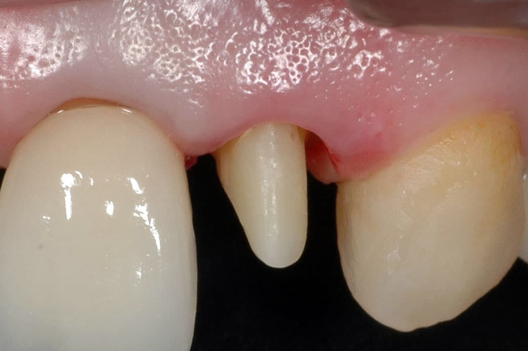
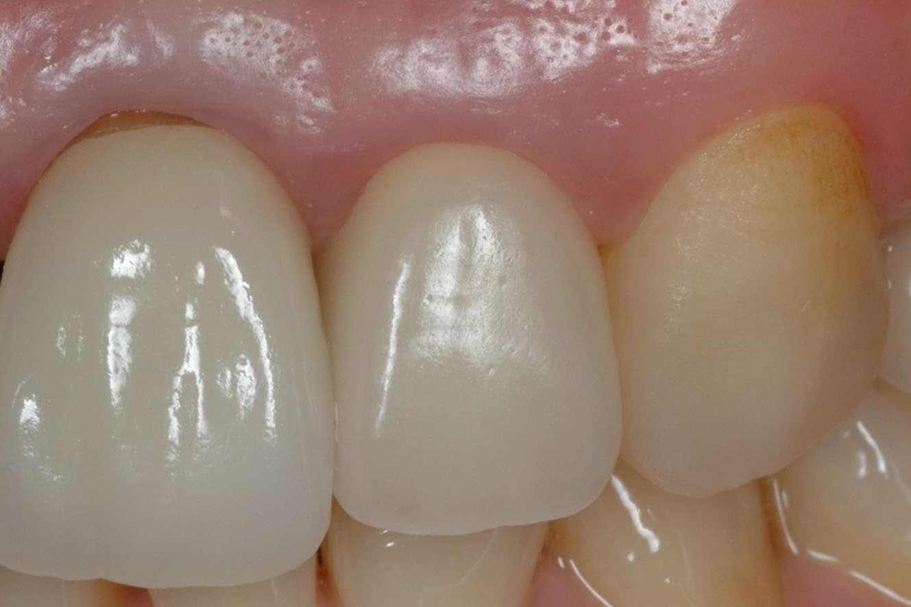
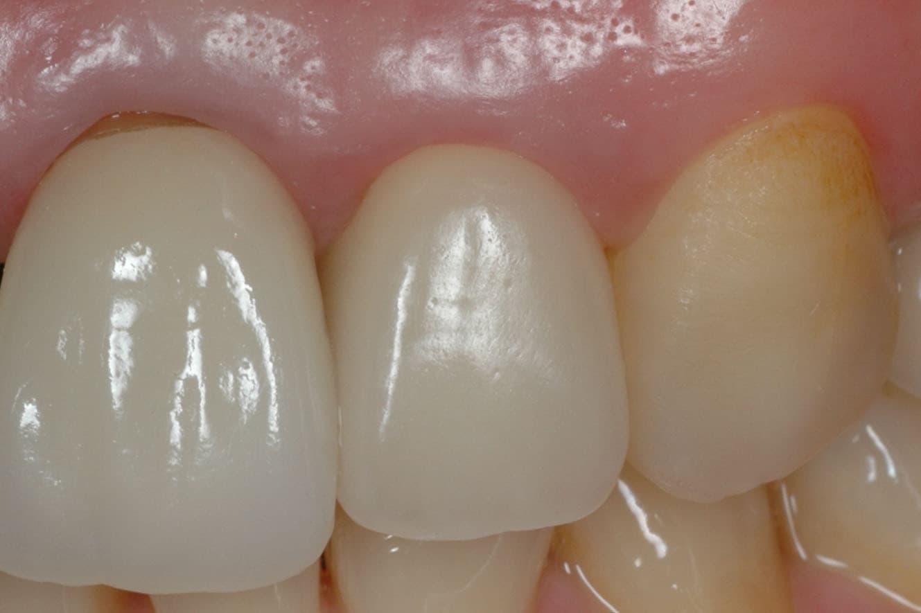
オールセラミック等

Ceramics

cera_(2).jpg fc_(3).jpg c5.jpg em_(2).jpg

オールセラミック※保険外診療

当院では、健康のためにもメタルフリーを推奨しております。
 
メタルの歯を長く使用すると、どうしても金属が溶け出し、金属アレルギーの原因になったり、歯茎に色素沈着してしまったりすることがあります。
 
オールセラミックは、内外共にセラミック素材で製作したもので、天然歯に近い自然な感じで見た目も良く、健康にもよい素材です。
 
特徴
・歯に汚れ(プラーク)が付きにくく、変色もしません。
・歯肉が黒くならず、そして歯ぐきが下がっても黒いラインが出ません。
・金属アレルギーの心配もありません。

 
cera_(2).jpg fc_(3).jpg c5.jpg em_(2).jpg

オールセラミック※保険外診療

当院では、健康のためにもメタルフリーを推奨しております。
 
メタルの歯を長く使用すると、どうしても金属が溶け出し、金属アレルギーの原因になったり、歯茎に色素沈着してしまったりすることがあります。
 
オールセラミックは、内外共にセラミック素材で製作したもので、天然歯に近い自然な感じで見た目も良く、健康にもよい素材です。
 
特徴
・歯に汚れ(プラーク)が付きにくく、変色もしません。
・歯肉が黒くならず、そして歯ぐきが下がっても黒いラインが出ません。
・金属アレルギーの心配もありません。

 

fc5.jpg c4.jpg c5.jpg

ファイバーコア※保険外診療

通常の保険診療では歯の土台(コア)から金属製の物となり、前歯などで歯茎が痩せてきたときなど、土台の金属が見えたり、衝撃で歯が中で割れてしまったりもしやすいのですが、ファイバーコアはグラスファイバー製で透明感もあり、衝撃も柔軟に受け止め破折しづらい素材となります。
 
審美性だけではなく、ご自身の歯を長く使うためにもオススメです。

 
fc5.jpg c4.jpg c5.jpg

ファイバーコア※保険外診療

通常の保険診療では歯の土台(コア)から金属製の物となり、前歯などで歯茎が痩せてきたときなど、土台の金属が見えたり、衝撃で歯が中で割れてしまったりもしやすいのですが、ファイバーコアはグラスファイバー製で透明感もあり、衝撃も柔軟に受け止め破折しづらい素材となります。
 
審美性だけではなく、ご自身の歯を長く使うためにもオススメです。


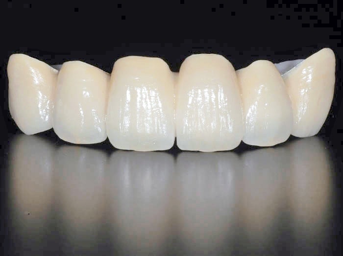
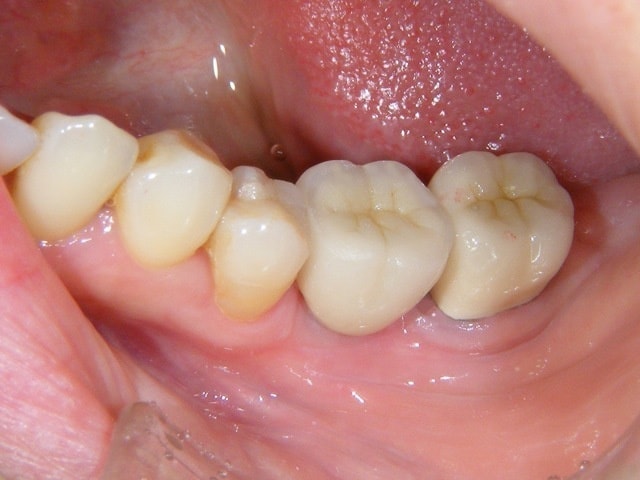
ji_20240513134606239.jpg ji3.jpg ji2_20240513134606243.jpg

ジルコニア※保険外診療

ジルコニアはインプラント、クラウン、ブリッジ、そして他の補綴物などの多くの歯科治療手段に広く使用されています。
非常に耐久性が高く、金属よりも強度があり、長期間の使用においてもその形状や色、機能性が保たれます。
 
素材は人エダイヤモンドと同じで、その上にポーセレンを盛って、細かいお色をご自分の歯に合わせていきます。
透明感もあり、審美性No1!
特に前歯へオススメです。

 
ji_20240513134606239.jpg ji3.jpg ji2_20240513134606243.jpg

ジルコニア※保険外診療

ジルコニアはインプラント、クラウン、ブリッジ、そして他の補綴物などの多くの歯科治療手段に広く使用されています。
非常に耐久性が高く、金属よりも強度があり、長期間の使用においてもその形状や色、機能性が保たれます。
 
素材は人エダイヤモンドと同じで、その上にポーセレンを盛って、細かいお色をご自分の歯に合わせていきます。
透明感もあり、審美性No1!
特に前歯へオススメです。


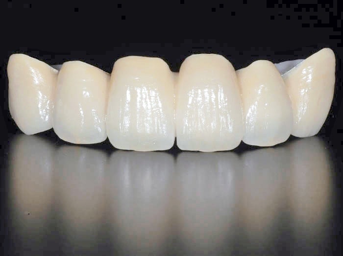
cru.jpg cru1.jpg in.jpg img20200429231110694790.jpg

ハイブリッドセラミック ※保険外診療

セラミック(陶器)の粒子と、レジン(プラスチック)を混ぜ合わせて作ったものです。
 
セラミックよりもやわらかく、対合歯にも優しいというメリットがありますが、色調は多少劣り、唾液を吸収し、経年的に変色します。
 
特徴
・色が白いので見た目が良い。
・硬すぎず、適度にすり減るので周囲の歯を傷めにくい。
・金属を使用していないので、金属アレルギーが起こらない。
・割れても修理しやすい。

 
cru.jpg cru1.jpg in.jpg img20200429231110694790.jpg

ハイブリッドセラミック ※保険外診療

セラミック(陶器)の粒子と、レジン(プラスチック)を混ぜ合わせて作ったものです。
 
セラミックよりもやわらかく、対合歯にも優しいというメリットがありますが、色調は多少劣り、唾液を吸収し、経年的に変色します。
 
特徴
・色が白いので見た目が良い。
・硬すぎず、適度にすり減るので周囲の歯を傷めにくい。
・金属を使用していないので、金属アレルギーが起こらない。
・割れても修理しやすい。


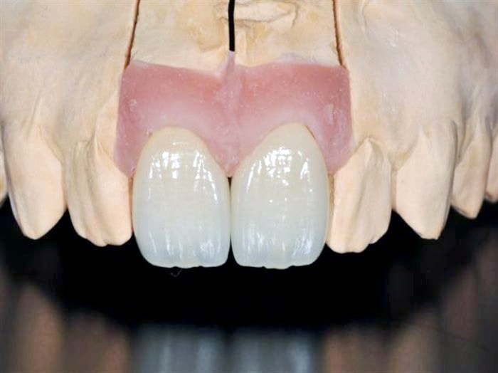
e2_20240510195056186.jpg pla.003-thumb.jpg 150199d9-b54d-49dc-9cfb-eb4fd6f08062.jpg

ラミネートベニア※保険外診療

ラミネートベニアとは、歯の表面をごく薄く削り、セラミック製のシェルを貼り付ける方法です。
 
削った歯の表面にラミネートベニアを貼り付けますが、特殊な接着剤で貼り付けますので、剥がれてしまう心配はありません。
 
ホワイトニングでは落とせない歯の変色も、ラミネートベニアならキレイにすることができます。

 
e2_20240510195056186.jpg pla.003-thumb.jpg 150199d9-b54d-49dc-9cfb-eb4fd6f08062.jpg

ラミネートベニア※保険外診療

ラミネートベニアとは、歯の表面をごく薄く削り、セラミック製のシェルを貼り付ける方法です。
 
削った歯の表面にラミネートベニアを貼り付けますが、特殊な接着剤で貼り付けますので、剥がれてしまう心配はありません。
 
ホワイトニングでは落とせない歯の変色も、ラミネートベニアならキレイにすることができます。